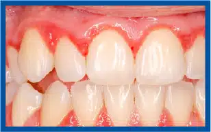
Wat zijn tandvleesontstekingen?
Tandvleesirritatie is een veelvoorkomend verschijnsel dat zich in verschillende vormen manifesteert, van mild tot ernstig, en zelfs tot tandverlies kan leiden.

De oorzaken
Ontsteking is de meest oppervlakkige en voorkomende vorm, vaak veroorzaakt door agressief voedsel, slechte mondhygiëne of onjuiste mechanische mondhygiënetechnieken. Door de ophoping van tandplak en tandsteen, en daarmee de toegenomen bacteriegroei in de loop van de tijd, kan de ontsteking verergeren tot gingivitis , een langdurige ontsteking van het zachte weefsel rond de tanden. Als deze aandoening niet wordt behandeld, versnelt de vorming van bacteriële tandplak, zelfs onder de tandvleesrand, waar het tandvlees de tand raakt. Dit leidt tot de ernstigste vorm van tandvleesontsteking, parodontitis, die niet alleen het tandvlees aantast, maar ook het weefsel dat de tanden ondersteunt: het alveolaire bot en het parodontale ligament.
Deze aandoening veroorzaakt de progressieve vorming van parodontale pockets en het daaropvolgende loslaten van het tandvlees van de tand, waardoor het parodontium (tandvlees-bot-ligamentsysteem) onherstelbaar wordt aangetast en de tand uiteindelijk verloren gaat.
De remedies
Een goede en zorgvuldige mondhygiëne voorkomt tandvleesontsteking en verergering ervan, maar zelfs wanneer er al sprake is van ontsteking, is mondhygiëne absoluut de eerste stap. Mondhygiëne verwijst naar de combinatie van dagelijkse en periodieke reinigingspraktijken:
- Poetsen na elke maaltijd, eventueel met een tandenborstel met zachte borstelharen.
- Gebruik na het eten tandzijde; dit is het enige systeem dat zelfs de contactpunten tussen de tanden effectief reinigt.
- Gebruik een geschikte interdentale borstel die voedselresten tussen de tanden kan verwijderen.
- gebruik van een geschikt mondspoelmiddel
- periodieke tandsteenverwijdering bij de tandarts
Bij ernstige ontstekingen is het raadzaam het probleem te behandelen met een specifiek mondspoelmiddel op basis van chloorhexidine, eventueel in combinatie met een tandpasta of gel op basis van chloorhexidine, of in elk geval een middel dat compatibel is met deze behandelingsmethode.
Tijdens de behandeling is het extra belangrijk om interdentale borsteltjes en flosdraad te gebruiken om voedselresten te verwijderen.
Tandvleesontsteking is vaak pijnloos, waardoor het kan verergeren zonder dat er direct actie wordt ondernomen. Daarom is het belangrijk om uw tandarts of mondhygiënist te raadplegen als u bloedend tandvlees heeft, wat een teken kan zijn van een eerdere ontsteking.
Tot slot is het belangrijk te onthouden dat een evenwichtig dieet en het stoppen met roken en alcoholgebruik aanzienlijk bijdragen aan het behoud van gezonde tanden en tandvlees.
Kernboodschappen
- Tandvleesontsteking, zoals gingivitis, komt vaak voor en wordt bijna altijd veroorzaakt door tandplak.
- Symptomen zijn onder andere roodheid, zwelling en bloeding van het tandvlees.
- Slechte mondhygiëne is de belangrijkste risicofactor.
- Factoren zoals roken en bepaalde systemische ziekten kunnen de situatie verergeren.
- Vroegtijdige diagnose is essentieel om complicaties te voorkomen.
- Een goede mondhygiëne is essentieel voor de behandeling en preventie van tandvleesaandoeningen.
De inhoud van dit document is geschreven of gevalideerd door de volgende specialisten: Dr. Matteo Basso, tandarts gespecialiseerd in parodontologie; Dr. Giordano Bordini, tandarts gespecialiseerd in parodontologie; Dr. Silvia Musella, mondhygiëniste.
Laatst bijgewerkt: 31 december 2022
De informatie op deze pagina is bedoeld als aanvulling op, en niet ter vervanging van, het advies van een zorgverlener. Het is altijd raadzaam om uw vertrouwde zorgverlener te raadplegen.