Wat veroorzaakt parodontitis?
Dit is een ernstigere vorm van ontsteking die wordt veroorzaakt door de voortschrijdende onbehandelde gingivitis. In dit geval omvat de ontsteking van het tandvlees ook het parodontale ligament en het alveolaire bot dat de tand ondersteunt, factoren die de stabiliteit van de tand zelf in gevaar kunnen brengen. Parodontitis is een onomkeerbaar verschijnsel en, indien behandeld in een gevorderd stadium, herstelt het bot en het tandvlees niet zonder geavanceerde regeneratieve chirurgische technieken. Parodontitis is bovendien vaak asymptomatisch, dus frequent bloeden vereist een controle bij uw tandarts.
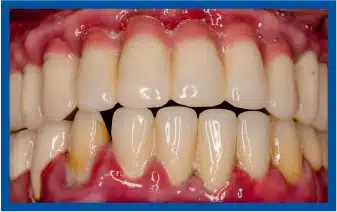
Symptomen van parodontitis

In veel gevallen worden de symptomen van parodontitis pas duidelijk wanneer de ziekte zich al in een vergevorderd en onomkeerbaar stadium bevindt. Het is daarom belangrijk om ze bij de eerste tekenen te herkennen:
- Aanhoudende slechte adem
- Rood, gezwollen, bloedend tandvlees
- Ongemak of pijn tijdens het kauwen
De remedies
Bij een infectie is het essentieel om een antiseptisch mondspoelmiddel en tandpasta te gebruiken die infectieuze micro-organismen bestrijden. Chlorhexidine wordt nog steeds beschouwd als het beste middel voor mondhygiëne. De belangrijkste aandachtspunten bij een infectie zijn daarom de volgende:
- Gebruik van een antibacterieel mondspoelmiddel met chloorhexidine (in overleg met de tandarts of mondhygiënist, of in elk geval op advies van de apotheker).
- periodieke tandsteenverwijdering bij de tandarts
- Het kiezen van de juiste tandpasta is essentieel , omdat sommige ingrediënten in tandpasta de werking van chloorhexidine kunnen tegengaan of zelfs tenietdoen. Het is daarom belangrijk om een tandpasta te gebruiken die zijn volledige effectiviteit behoudt.
Bescherming en preventie
Wat gebeurt er na een behandeling met chloorhexidine?
Zodra het probleem is opgelost, is de eerste stap om herhaling te voorkomen uiteraard preventie met specifieke producten voor dagelijks gebruik.
Een goede mondhygiëne minimaliseert het risico op tandvleesontsteking en parodontitis, maar voor een nog specifiekere en effectievere preventie is het belangrijk om de traditionele mondhygiëne aan te vullen met een herstel van het evenwicht in de mondflora.
Wat is de orale microbiota?
Dat is de bacteriële flora die van nature in de mond aanwezig is, oftewel de mix van 'goede' en 'slechte' bacteriën die in een bepaald evenwicht moet worden gehouden om ontstekingen te voorkomen.
Het in balans houden van de darmflora:
Het dagelijks in evenwicht houden van de darmflora is een van de meest effectieve en moderne methoden om mondziekten bij gezonde patiënten te voorkomen . Het helpt ook de mondgezondheid te behouden bij mensen met implantaten of mensen die al eerder aan aandoeningen zoals parodontitis hebben geleden.
Curasept heeft een nieuwe, complete productlijn ontwikkeld ter ondersteuning van gezonde patiënten bij preventie: Curasept Prevent .
De gecombineerde werking van deze producten, dag in dag uit, is met name gunstig wanneer er risicofactoren aanwezig zijn zoals roken, obesitas, diabetes, ouderdom, een droge mond en een zwakke weerstand. Deze factoren kunnen het ontstaan van ontstekingen zoals mucositis en gingivitis bevorderen, vooral bij mensen die al eerder tandvleesproblemen hebben gehad.
Mondhygiëne in alle opzichten (360°)
Mondhygiëne beperkt zich niet tot het juiste gebruik van mondspoeling en tandenborstels, maar omvat een reeks essentiële hulpmiddelen voor een optimale mondgezondheid. Mechanische hygiëne
– de dagelijkse 'fysieke' handelingen die nodig zijn om de tanden te reinigen en voedselresten en tandplak te verwijderen – mag zeker niet worden vergeten.
Voor een grondige reiniging is het raadzaam om 3 essentiële hulpmiddelen te gebruiken:
- zachte tandenborstel
- Tandzijde, die zelfs bij contactpunten effectief reinigt.
- Een interdentale borstel – van de juiste maat – die geschikt is om voedselresten tussen de tanden te verwijderen.
Deze hulpmiddelen zijn geen vervanging voor elkaar, maar vullen elkaar aan en zorgen voor een goede reiniging van alle vijf tandoppervlakken , inclusief het verwijderen van voedselresten, zelfs vlak bij de overgang tussen tand en tandvlees.
Curasept heeft oplossingen ontworpen voor al uw behoeften.
Meer informatie
Kernboodschappen
- Onbehandelde en terugkerende tandvleesontsteking kan overgaan in parodontitis, een chronische en ernstige ontsteking.
- Parodontitis tast het parodontale ligament en het kaakbot aan, waardoor de stabiliteit van de tanden in gevaar komt.
- Symptomen zijn onder andere een slechte adem, ontstoken tandvlees en losse tanden. Omdat parodontitis vaak pijnloos is, kan het lastig zijn om de aandoening in een vroeg stadium te diagnosticeren.
- De behandeling bestaat uit het verwijderen van tandplak en tandsteen, zowel aan het oppervlak als diep in de tanden. Tijdens deze fase van de therapie bevordert het gebruik van antiseptische mondspoelingen de genezing.
- Preventie vereist een goede mondhygiëne en het gebruik van specifieke producten om het evenwicht van de mondflora te behouden.
- Hygiënemiddelen zoals tandenborstels, flosdraad en interdentale borsteltjes zijn essentieel voor een goede mondgezondheid.
De inhoud van dit document is geschreven of gevalideerd door de volgende specialisten: Dr. Matteo Basso, tandarts gespecialiseerd in parodontologie; Dr. Giordano Bordini, tandarts gespecialiseerd in parodontologie; Dr. Silvia Musella, mondhygiëniste.
Laatst bijgewerkt: 31 december 2022
De informatie op deze pagina is bedoeld als aanvulling op, en niet ter vervanging van, het advies van een zorgverlener. Het is altijd raadzaam om uw vertrouwde zorgverlener te raadplegen.