Zie je bloed als je je tanden poetst of flost ?
Voelt uw tandvlees tijdens uw menstruatie meer geïrriteerd of gezwollen aan?
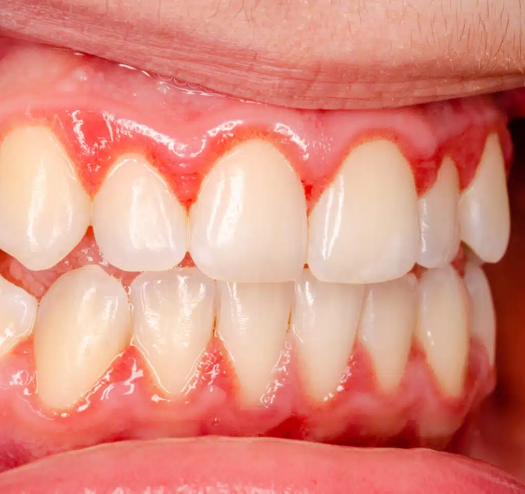
Merk je dat je tandvlees erg rood is als je in de spiegel kijkt?
Als je jezelf ooit in een van deze situaties hebt bevonden, is dit artikel voor jou, want je zou wel eens aan tandvleesontsteking kunnen lijden!
Om te beginnen, wat duidelijkheid: wat is gingivitis?
Gingivitis is een van de meest voorkomende tandvleesaandoeningen (ook wel "tandvleesziekte" genoemd). Deze aandoening uit zich als een ontsteking van het tandvlees, beginnend bij de rand , het gedeelte van het weefsel dat het dichtst bij de tand ligt. Deze ontsteking wordt veroorzaakt door een infectie met bacteriën in tandplak.
Tandplaque , of biofilm , is een ophoping van bacteriën die zich in een laagje speeksel bevinden. Na verloop van tijd neemt het aantal en de soorten bacteriën in de plaque toe , waardoor ze steeds gevaarlijker worden en ziekten kunnen veroorzaken, waaronder tandbederf (de meest bekende), maar ook tandvleesaandoeningen zoals gingivitis. Wanneer ze zich in overmaat ophopen , kunnen de bacteriën in de plaque zich nestelen en, door de werking van bepaalde minerale bestanddelen in speeksel, mineraliseren en veranderen in tandsteen . En hoewel tandsteen "inert" lijkt, kan ook het tandvleesontsteking veroorzaken , omdat het een perfecte voedingsbodem is voor de meest schadelijke bacteriën in de plaque om zich aan te hechten .
Als afweermechanisme raken de tandvleesweefsels ontstoken als reactie op een infectie veroorzaakt door pathogene bacteriën.
Lees ons artikel over tandvleesontsteking voor meer informatie.
Wat zijn de symptomen van tandvleesontsteking? Hoort tandvlees pijn te doen?

Als u last heeft van tandvleesontsteking, kunt u alle typische ontstekingssymptomen ervaren : allereerst bloedingen , maar ook een gevoel van zwelling , gevoeligheid en roodheid . Vaak heeft u ook een slechte adem , omdat de bacteriën die tandvleesontsteking veroorzaken dezelfde zijn als de bacteriën die een slechte adem veroorzaken. Wat betreft pijn : tandvleesontsteking veroorzaakt in de beginfase vaak geen overmatige pijn , ook al is het weefsel nog steeds aangetast. Wacht daarom niet tot u pijn voelt voordat u actie onderneemt: als u bloed ziet tijdens het tandenpoetsen, flossen en/of het gebruik van een interdentale borstel , beschouw dit dan als een sterk waarschuwingssignaal dat er iets mis is !
Hoeveel soorten tandvleesontsteking bestaan er?
Tandvleesontsteking ontstaat bijna altijd door de ophoping van tandplak of tandsteen . In sommige gevallen kunnen bepaalde externe factoren echter de groei van bacteriën in tandplak bevorderen, en er bestaan ook "speciale" vormen van tandvleesontsteking.
- Hormonale factoren: Zwangere vrouwen kunnen meer tandvleesbloedingen ervaren als gevolg van veranderde schommelingen in de hormoonspiegels van oestrogeen en progestageen . Deze hormonen kunnen de ontstekingsreactie versterken en rechtstreeks het vaatstelsel van het tandvlees beïnvloeden, wat zwelling, gevoeligheid, pijn en natuurlijk bloedingen (soms zelfs spontane bloedingen) veroorzaakt. Bovendien ervaren zwangere vrouwen, vooral na het eerste trimester, een verminderde immuunrespons : hun natuurlijke afweer is meer inactief, zelfs op tandvleesniveau, en is minder effectief in het bestrijden van de schadelijke bacteriën in tandplak. Ten slotte kan gingivitis in sommige gevallen ook vlak voor of tijdens de menstruatie optreden , wederom door hormonale factoren. Gingivitis ontstaat echter meestal , zowel tijdens de zwangerschap als vlak voor de menstruatie, als er al sprake is van een onderliggende ontsteking veroorzaakt door tandplak en tandsteen.
- Ulceratieve necrotische gingivitis is een zeldzamere vorm van tandvleesontsteking die vaak voorkomt bij jonge mensen , met een hogere incidentie bij vrouwen . De naam is afgeleid van de ontsteking van het tandvlees, die zich manifesteert als een snelle en acute destructie van de papillen (het tandvlees tussen de tanden). Deze papillen raken aangetast door zweren en grijsachtig necrotisch weefsel. De oorzaken van deze vorm van tandvleesontsteking zijn meestal roken , ondervoeding , onbehandelde " klassieke" gingivitis en stress . Deze aandoening is zeer pijnlijk en vereist een gerichte, professionele behandeling om de ontsteking te verhelpen, soms met behulp van orale antibiotica .
- Stress: Is het mogelijk dat we tandvleesontsteking krijgen door stress? We geven stress vaak de schuld van bepaalde signalen die ons lichaam ons geeft, maar stress alleen kan geen bloedend tandvlees of gingivitis veroorzaken . Het kan de situatie echter wel verergeren: enerzijds draagt stress bij aan een toename van tandvleesontsteking en een vermindering van onze natuurlijke afweer tegen tandplak, en anderzijds zorgt het ervoor dat we minder aandacht besteden aan onze mondhygiëne en preventie. Hoe vaak denk je tijdens een iets stressvollere periode: "Ik heb het vanavond te druk, ik kan niet flossen" of "Ik heb het te druk met werk en ik heb geen tijd om naar de tandarts te gaan"?
- Gelokaliseerde gingivitis. Soms tast gingivitis niet de hele mond of meerdere gebieden tegelijk aan, maar treedt het op slechts één plek op. Een goed voorbeeld is gingivitis rond een verstandskies : als deze verkeerd staat of slechts gedeeltelijk is doorgebroken , kunnen we er waarschijnlijk niet goed bij met een tandenborstel om het tandvlees eromheen te reinigen. Hierdoor hopen voedselresten en bacteriën zich vaak op , wat leidt tot tandvleesontsteking, een aandoening die vaak gepaard gaat met pijn. Wanneer dit type gingivitis terugkeert , moet eerst de ontsteking worden behandeld en vervolgens, als het niet mogelijk is om het gebied goed te reinigen, de verstandskies worden getrokken .
- Kinderen en tandvleesontsteking: krijgen kinderen ook tandvleesontsteking? Bij kinderen en mondziekten denk je vaak meteen aan tandbederf. Maar net als volwassenen kunnen kinderen ook tandvleesontsteking krijgen. Naar schatting heeft 70-80% van de kinderen en adolescenten er last van . Factoren die hierbij een rol lijken te spelen zijn onder andere de vaak minder goede mondhygiëne van kinderen en adolescenten, in combinatie met het dragen van vaste beugels. Deze beugels kunnen de bacteriegroei bevorderen en tandvleesontsteking veroorzaken als ze niet goed worden gereinigd.
Lees hoe je tandvleesontsteking op de juiste manier behandelt.
Kernboodschappen
- Gingivitis is een ontsteking van het tandvlees, veroorzaakt door tandplak en tandsteen.
- Het kan verergerd worden door situaties zoals zwangerschap of stress en zich in verschillende gradaties van ernst manifesteren.
- Symptomen zijn onder andere roodheid, zwelling en bloeding van het tandvlees.
- Risicofactoren zijn onder andere slechte mondhygiëne en roken.
- Het is belangrijk om het vroegtijdig te behandelen om complicaties te voorkomen.
- Tandvleesontsteking is te genezen met een goede mondhygiëne en regelmatige professionele behandelingen bij uw tandarts/mondhygiënist.
De inhoud van dit document is geschreven of gevalideerd door de volgende specialisten: Dr. Matteo Basso, tandarts gespecialiseerd in parodontologie; Dr. Giordano Bordini, tandarts gespecialiseerd in parodontologie; Dr. Silvia Musella, mondhygiëniste.
Bibliografie
-“Parodontale ziekten in de pediatrische leeftijd” Rozza, Francetti, Maggiore, Malerba Afdeling Geneeskunde, Chirurgie en Tandheelkunde, “San Paolo” Ziekenhuis, Universiteit van Milaan
-Chapple et al. Primaire preventie van parodontitis: behandeling van gingivitis. J Clin Periodontol. 2015
-James P, Worthington HV, Parnell C, Harding M, Lamont T, Cheung A, Whelton H, Riley P. Chlorhexidine mondspoeling als aanvullende behandeling voor tandvleesgezondheid. Cochrane Database Syst Rev. 2017
-Chen P, Hong F, Yu X. Prevalentie van parodontale aandoeningen tijdens de zwangerschap: een systematische review en meta-analyse. J Dent. 2022
Laatst bijgewerkt: 2 april 2024
De informatie op deze pagina is bedoeld als aanvulling op, en niet ter vervanging van, het advies van een zorgverlener. Het is altijd raadzaam om uw vertrouwde zorgverlener te raadplegen.